Global Innovation Business Corporation team members Dr. Basil Springer (center), Dr. Owen Carryl (right) and Diego Bolson Ruzzarin chat before...
Read moreDetailsPresident Donald RamotarThe Guyana Human Rights Association (GHRA) is skeptical about the motive behind President Donald Ramotar’s failure to dissolve...
Read moreDetailsBibi ShaddickFormer Minister and Attorney-at-Law Bibi Shadick, was appointed the eighth Pro-Chancellor of the University of Guyana (UG) at an...
Read moreDetailsA Guyanese man, described as a “frequent flyer” was Tuesday afternoon arrested after a large quantity of cocaine was allegedly...
Read moreDetailsUniversity of Guyana Vice Chancellor, Professor Jacob OpadeyiVice Chancellor (VC) of the University of Guyana (UG) Jacob Opadeyi says he...
Read moreDetailsLess than one hour after news broke that President Donald Ramotar announced that Monday, May 11, 2015 will be Election...
Read moreDetailsPresident Donald RamotarPresident Donald Ramotar Tuesday evening announced that Guyanese would be going to the polls to elect a new...
Read moreDetailsAs Guyana’s President, Donald Ramotar prepares to call general elections Tuesday evening, the Secretary General of the Union of South...
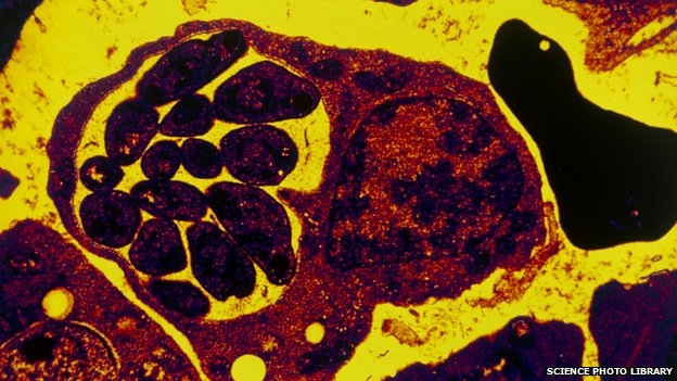
Read moreDetailsMalaria parasites - seen tightly packed in this red blood cell - have evolved resistance to artemisinin (BBC Science photo...
Read moreDetailsThe United Minibus Union (UMU) on Monday virtually ruled out a reduction in fares, despite an appeal by government on...
Read moreDetails
Demerara Waves Media Inc. is a Guyana-based digital news media company committed to delivering timely, credible, and relevant news coverage. We report on key national issues, including politics, business, crime, education, health, sports, and culture, serving readers in Guyana and abroad.